La Página de la Vida / www.proyectopv.org

 

 
El veneno en la boca.

La disputa sobre la amalgama como empate dental continua. Críticos califican el uso despreocupado con el relleno mercurial de “delito grave a la humanidad”.
El instituto Federal de Medicamentos de Alemania afirma ahora que “la amalgama contribuye censurablemente a la contaminación del hombre”.

Todavía no se ha llegado a una prohibición del material controvertido. No es extraño, porque la amalgama es un tema político: pues un 95% de la población tiene amalgama en su boca. Un saneamiento general de los dientes costaría millones de euros. Además, quizá no les interese.

Desde que se empastan los dientes careados con amalgama hay disputas sobre el material mercurial. Poco después de su presentación estalló en el año 1833 la “primera guerra de la amalgama” en EE.UU.
De repente aparecieron enfermedades desconocidas y pocos años después se volvió a prohibir la amalgama. Dentistas, que después de la prohibición continuaron utilizándola, perdieron su licencia.

Pero lo prohibición duró poco tiempo. Bajo la presión de la industria y ciertos políticos quedó anulada en el año 1860 y de pronto la amalgama fue considerado un material de empaste valioso, porque era barato y fácil de elaborar. No obstante aumentaron entonces las intoxicaciones de mercurio. Informes sobre este tema fueron desmentidos e ignorados. La nueva enfermedad se llamó “neurastenia” y se consideró causada de forma “psicosomática”.

El reconocido profesor de química Dr. Alfred Stock, director del Instituto Max-Planck de Berlín en 1926, demostró en su día en varios experimentos que el mercurio sale de los empastes de amalgama y puede ser acogido por el cuerpo. Dijo: “No hay ninguna duda que muchos síntomas, entre ellos fatiga, depresión, irritabilidad, vértigo, amnesia, inflamación bucal, diarrea, inapetencia, catarros crónicos son muchas veces ocasionados por el mercurio al que el cuerpo está expuesto por sus empastes de amalgama, en cantidades pequeñas pero continuas. Los médicos deben prestar seria atención a este hecho. Entonces, probablemente se comprueba que el uso despreocupado de la amalgama como empaste dental ha sido un delito grave a la humanidad”.

El Dr. Daunderer, hoy el crítico más mordaz, tranquilizó durante casi dos décadas a los dentistas respecto a la amalgama hasta que “encontramos por casualidad en una niña de diez años, que se encontró en coma, como única causa de su intoxicación crónica de mercurio cinco empastes de amalgama”. Desde entonces, el Dr. Daunderer demostró intoxicaciones en más de 10.000 pacientes. “Estamos sorprendidos de los daños provocados por la intoxicación crónica. Probablemente mueren solo en Alemania miles de personas bajo los signos de un infarto de corazón o de un ataque de apoplejía por consecuencia de la amalgama”.

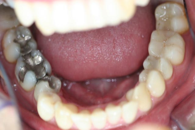
El relleno de amalgama gris-metálico se elabora mezclando mercurio líquido (porción del 50%) con un polvo de aleación.

Siete empastes de amalgama corresponden a un peso de unos dos gramos de mercurio puro. En los países accidentales la media son doce empastes por ciudadano (3 a 4 gramos). Tan solo un gramo de mercurio conduciría a la muerte por inyección directa. Soportamos esta gran cantidad de mercurio porque en primer lugar en su forma metálica, que relativamente es poco tóxica y en segundo lugar porque se disuelve y es absorbido por el cuerpo lentamente. A solo 20 grados centígrados se evapora el mercurio y en esta forma de vapor es altamente tóxico. Al existir en la boca a veces a temperaturas entre 40 y 60 grados, continuamente se libera vapor de mercurio y es absorbido por el organismo. Esta liberación de mercurio aumenta al masticar fuertemente, pasta dentífricas con fluor, comidas y bebidas calientes o ácidas, fumar y masticar chicles.
¡Investigadores de la Universidad de Erlangen descubrieron que al masticar chicles el contenido de mercurio en la saliva sobrepasa el valor máximo autorizado de mercurio en agua potable por el factor 190!

Numerosos estudios confirman que el mercurio perjudica y bloquea determinadas hormonas, receptores y enzimas. Así se perturba principalmente el metabolismo en el cerebro, los nervios, las proteínas, grasas, hidratos de carbono y vitaminas. Esto se refleja en múltiples enfermedades que el “médico clásico” normalmente no se puede explicar, pues en la formación de los médicos las intoxicaciones apenas tienen importancia.

El mercurio también ataca el sistema inmunitario, así que hongos (p.ej. candida), virus y bacterias pueden extenderse muy fácilmente. La consecuencia: aún más enfermedades. Puesto que el mecanismo natural de desintoxicación esta paralizado no se puede excretar otras sustancias nocivas de nuestro entorno que absorbemos involuntariamente cada día (barniz de madera, formaldehído, plomo, cadmio) y se almacenan en el cuerpo.

El Dr. Daunderer describe los siguientes síntomas principales de la intoxicación de mercurio:

Poca vitalidad, irritabilidad, dolor de cabeza, mareos, temblores, molestias intestinales, pérdida de memoria, insomnio, debilidad muscular, dolores de espalda, de mandíbula, alergias, nerviosismo, depresión, perturbaciones de coordinación, parálisis, perturbaciones de vista y oído, defensas bajas frente a infecciones, arritmia, anemia.

Síntomas de enfermedades que hoy en día siguen siendo interpretados como psicosomáticos, y esto después de 160 años de experiencia con amalgama. A buen entendedor pocas palabras bastan.

La mayoría de la gente sufren tarde o temprano un desequilibrio a consecuencia de las cantidades continuas de mercurio. Se sienten cansados y agotados, apáticos, con ganas únicamente de estirarse en el sillón delante de su televisión. Pero se acostumbra a eso y a lo mejor se culpa a la edad. Cada vez falla más la memoria. Y con el paso de los años el médico de cabecera diagnosticará una de esas enfermedades tan desgraciadamente populares últimamente. ¿Y quien se imagina que la culpa la pueden tener los dientes? Sin duda, hay quien lo sabe muy bien.

 

Menú de este tema

Home

 

 

Visualiza nuestros vídeos por temas: Alquimia Sexual / Sexualidad Superior / Tantra, Crecimiento Interior, Autoayuda, Conocimientos Ocultos / Metafísica...

   Visualiza nuestros vídeos

 

Algunos de nuestros vídeos son:

  Lista de reproducción en Youtube  1. Primer paso: Ejerce tu Consciencia y permite en ti la Calma

  Lista de reproducción en Youtube  Cómo tener erecciones firmes y cómo mantenerlas por más tiempo

   Lista de reproducción en Youtube  Qué son los parásitos astrales, cuáles son sus síntomas y cómo limpiarte

 

PROYECTOPV es nuestro canal

 

       La Página de la Vida en Facebook


       Proyectopv en Facebook

 

.Página Principal

.